Rev Bras Oftalmol.2020;79(4):266-269
Endoftalmite fúngica bilateral endógena
DOI: 10.5935/0034-7280.20200057
Resumo
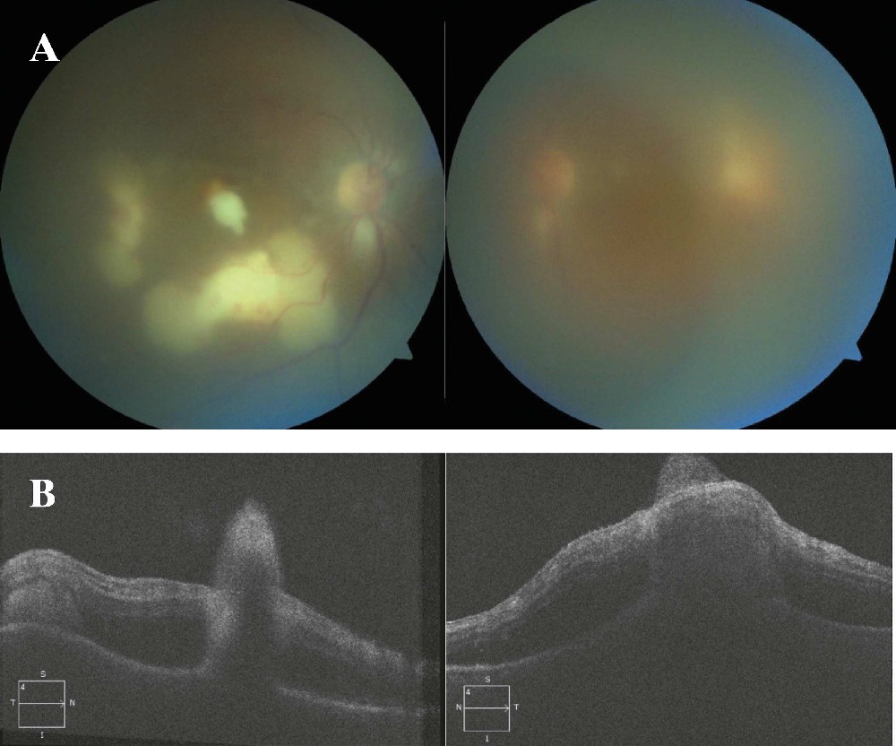
É apresentado o caso de uma paciente do sexo feminino, 77 anos, internada por pielonefrite e tratada com antibóticos de amplo espectro, tendo desenvolvido endoftalmite endógena bilateral presumida por Candida. Foi submetida à vitrectomia via pars plana e injeção intravítrea de anfotericina B, além de voriconazol oral. São abordados, ainda, os aspectos clínicos da endoftalmite endógena por meio de revisão da literatura.
Palavras-chave: Candida albicans; Endoftalmite; Infecções oculares fúngicas; Voriconazol

