Rev Bras Oftalmol.2023;82:e0004
Apresentação simultânea de glaucoma juvenil e retinosquise juvenil: relato de caso
DOI: 10.37039/1982.8551.20230004
RESUMO
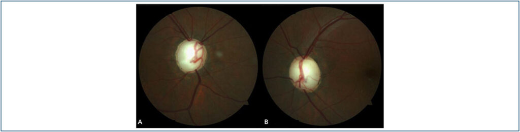
O glaucoma e a retinosquise juvenis são doenças raras isoladamente. Ocorrem bilateralmente com início precoce, resultando em grave perda visual. O glaucoma juvenil é descrito principalmente no sexo masculino, com pressão intraocular elevada, e a retinosquise juvenil é caracterizada por formação de cistos retinianos. Este caso relata um paciente do sexo masculino de 16 anos com perda visual progressiva que apresentou a associação de ambas as patologias, tratando-se este de um acometimento incomum e grave. Após diagnóstico e tratamento medicamentoso adequado, evoluiu com melhora do quadro, não necessitando de intervenção cirúrgica.
Palavras-chave: Acuidade visual;; Glaucoma de ângulo aberto; Retinosquise

