Rev Bras Oftalmol.2023;82:e0064

Comparação de seis casos de buracos maculares externos e revisão de literatura

Murilo Simão , Guilherme Gonçalves , Ana Letícia de Morais , Carlos Augusto Moreira

DOI: 10.37039/1982.8551.20230064

RESUMO

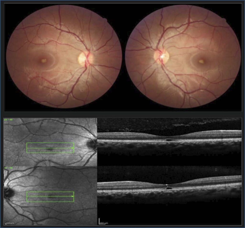
O achado característico da tomografia de coerência óptica na maculopatia solar é um espaço hiporrefletivo retiniano externo bem definido, envolvendo principalmente as camadas dos segmentos interno e externo dos fotorreceptores. Essa imagem típica da tomografia de coerência óptica pode estar presente em algumas outras patologias, que atualmente constituem seus principais diagnósticos diferenciais. Nosso estudo mostra o relato de 12 olhos de 6 pacientes atendidos no Hospital de Olhos do Paraná, apresentando sua história clínica e imagens diagnósticas, com o objetivo de comparar os achados dos 3 primeiros pacientes (diagnosticados com maculopatia solar) com os 3 últimos pacientes, que também são casos de buracos maculares externos.

Comparação de seis casos de buracos maculares externos e revisão de literatura

Comentários (0)