Rev Bras Oftalmol.2023;82:e0062
Coriorretinopatia de Birdshot: relato de caso e perspectivas sobre o tratamento
DOI: 10.37039/1982.8551.20230062
RESUMO
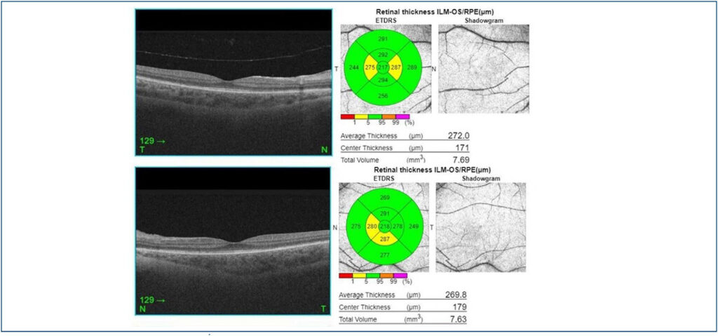
A coriorretinopatia de Birdshot é uma uveíte posterior bilateral crônica rara que acomete, preferencialmente, mulheres de meia-idade. O quadro clínico é composto de pouco ou nenhum processo inflamatório de segmento anterior, associado a vitreíte e lesões coriorretinianas ovoides branco-amareladas de característica hiperfluorescente na angiofluoresceinografia e hipofluorescente na angiografia com indocianina verde. O tratamento se dá por meio de corticoides e outras drogas imunossupressoras. Todavia, em alguns casos, a doença é refratária a tal terapêutica, sendo necessário lançar mão de outras drogas, como os agentes biológicos. O presente artigo busca relatar um caso de coriorretinopatia de Birdshot em ajuste de terapia imunossupressora que evoluiu com má resposta às drogas iniciais e bom controle após uso de imunobiológico e discutir as opções terapêuticas disponíveis atualmente.
Palavras-chave: Coriorretinopatia de Birdshot; Imunossupressores; Uveíte posterior

