Rev Bras Oftalmol.2025;84:e0048
Síndrome torácica aguda em paciente com doença falciforme submetido à cirurgia oftalmológica – um relato de caso
DOI: 10.37039/1982.8551.20250048
RESUMO
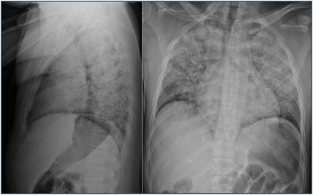
A doença falciforme é a hemoglobinopatia mais comum, e o período perioperatório pode apresentar exacerbação da doença. O objetivo deste relato foi descrever o caso de um paciente portador da doença falciforme submetido à cirurgia de correção de estrabismo e que desenvolveu síndrome torácica aguda, complicação mais temida em pacientes com essa doença. As adversidades dessa doença são resultantes do processo de falcização das hemácias, que pode ser desencadeada pelo frio, pela desidratação e pelo estresse. Essas causas devem ser evitadas na tentativa de reduzir possíveis complicações. Desse modo, é imprescindível o conhecimento da doença e suas complicações, entre elas a falcização.

