Rev Bras Oftalmol.2021;80(6):e0057
Toxoplasmose sistêmica associada à forma ocular bilateral atípica mimetizando necrose retiniana aguda
DOI: 10.37039/1982.8551.20210057
RESUMO
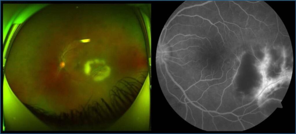
A toxoplasmose ocular pode se manifestar de forma atípica, rara, bilateral e associada à necrose retiniana aguda. É apresentada em pacientes imunossuprimidos, resultando em grave perda visual, se não for solucionada rapidamente. Relata-se um caso atípico de toxoplasmose ocular em paciente diabético, que, em sua internação prévia, já evidenciava aspecto sistêmico, o qual foi elucidado pelo exame clínico oftalmológico e pela anamnese. Além disso, a rotina do setor de uveítes, ao solicitar as sorologias de forma direcionada e criteriosa, foi imprescindível para o diagnóstico da toxoplasmose sistêmica associado à lesão ocular atípica bilateral, mimetizando necrose retiniana aguda com desfecho favorável.

