Rev Bras Oftalmol.2023;82:e0018
Ocular tuberculosis vasculitis associated with erythema nodosum and Poncet’s disease
DOI: 10.37039/1982.8551.20230018
ABSTRACT
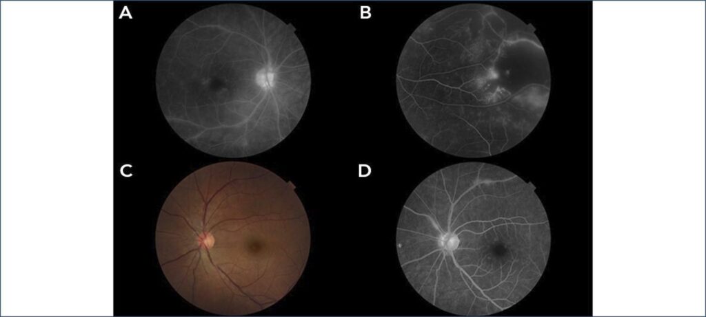
Intraocular tuberculosis should always be deemed as a differential diagnosis due to its high importance, in addition to the high morbidity of systemic infection. This condition may be associated with extraocular manifestations that are not prevalent in tuberculosis. The author reported a case of ocular tuberculosis vasculitis associated with erythema nodosum and Poncet’s disease, with resolution of the medical findings and symptoms after the standard treatment for tuberculosis.

