Rev Bras Oftalmol.2022;81:e0028
An uncommon case of brucellosis with ocular presentation
DOI: 10.37039/1982.8551.20220028
ABSTRACT
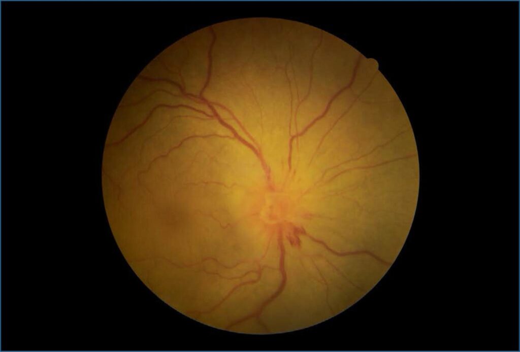
We report an unusual case of brucellosis presented with headache, diminished vision, papillitis and multiple peripapillary hemorrhages accompanied by subretinal fluid extending up to macula. Diagnosis of brucellosis was made based on positive polymerase chain reaction of cerebrospinal fluid sample for Brucella species DNA, accompanied by a raised titer of anti-brucella antibodies. Patient showed remarkable improvement on triple drug therapy in form of doxycycline, rifampicin and ceftriaxone.
Keywords: Brucellosis; Ceftriaxone; Doxycycline; Eye diseases; Headache; Ocular brucellosis; Papilledema; Rifampin

