Rev Bras Oftalmol.2020;79(1):66-68
Straatsma syndrome
DOI: 10.5935/0034-7280.20200014
Abstract
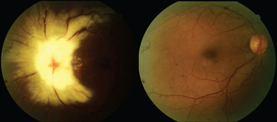
The presence of retinal myelinated nerve fibers is not a rare finding during routine examinations, and it is usually a benign and isolated finding. However, in some rare cases, it can be associated with other ophthalmological conditions. We describe a case of a patient with the triad myelin nerve fibers, myopia and ambliopia, which configures the Straatsma Syndrome.

